みなさま、こんばんは。
本日、土曜日の診療が終わりました。
まもなく、週末土曜日の夕方
学生時代の同級生と3名で
10年ぶりに会い、交友をあたためる、、、
そんな予定でした。
学生時代には解剖学実習で同じテーブルで学びあった仲です。
ところが、
昨日、金曜日の夜、広島市中区医師会の定時総会があり、
ご挨拶目的にわたくしも初めて参加しました。
すると、
・・そこに二人とも参加していました。
なので、
10年ぶりの三人での再会、とはならず
10年ぶりに会って、二日続けて旧交を温めるという・・・
バランスの悪い僕ら!
さて、そんなことはどうでもいいのですが。
大切なお知り合いの方がどうやら
顔面播種状粟粒性狼瘡Lupus miliaris disseminatus faciei (LMDF)
に罹患されたとのこと、近々受診されると伺いましたので
復習を兼ねてまとめてみます(医療者向けです)
「がんめん はしゅじょう ぞくりゅうせい ろうそう」とよみます。
早口言葉みたいですね💧
時に学童や、壮年、中高年の方で罹患されている方を診察することがあります。
診断は典型的なのですが 意外に誤診されていたり、
正しい治療を受けておられないこともあり
なかなか難しい疾患かもしれません。
皮膚科以外では診断治療することはないかもしれませんね。
顔面播種状粟粒性狼瘡(がんめんはしゅじょうぞくりゅうせいろうそう)
Lupus miliaris disseminatus faciei (LMDF)
【疾患概念】
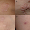
顔面粟粒状狼瘡(LMDF)は、顔面中央部、特に眼瞼およびその周辺の赤-黄色または黄褐色の丘疹を特徴とする、まれな慢性炎症性皮膚症です。
病変は単発または集簇して発生することがあります。組織学的特徴から結核性疾患と考えられていましたが、現在では多くの著者がLMDFを肉芽腫性酒さの極端な亜種とみなしています。
【臨床像】
病変は、顔面中央部、特に眼瞼およびその周辺の赤-黄色または黄褐色の丘疹を特徴と赤色の斑点、丘疹、結節のほか、膿疱や毛細血管拡張を呈することがあります。病変は単発または集簇して発生することがあります。並存症は一般的に指摘されていません。

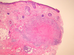
【病理像】
LMDFの組織学的特徴は肉芽腫性浸潤であり、場合によっては毛包構造を中心とすることもあります。肉芽腫はサルコイド型(非乾酪壊死性)と結核型(中心部の乾酪壊死を伴う)の両方が観察され、リンパ球と組織球のびまん性浸潤も観察されるが、肉芽腫は形成されません。後者は初期病変に特徴的であり、付属器周囲に見られることもある。また、好中球を伴う場合もあり、好中球性微小膿瘍を伴わない場合もあります。後期病変では線維化がみられ、臨床的な瘢痕形成と関連します。肉芽腫性酒さおよび顔面を冒す他の肉芽腫性疾患との組織学的重複が著明です[1]。
© 2023 DermNet New Zealand Trust
【鑑別疾患Differential Diagnoses】
ざ瘡- Acne Vulgaris
種痘様水疱症- Hydroa Vacciniforme
酒さ- Rosacea
サルコイドーシス- Sarcoidosis
汗管腫- Syringoma
毛包上皮腫- Trichoepithelioma
現在、LMDFは肉芽腫性酒さの一亜型ととらえられているようです。
【治療】
低用量PSL Low-dose prednisone[7]
ケナコルト局注 Intramuscular triamcinolone[8]
ジアフェニルスルフォンDapsone
テトラサイクリンTetracycline products
抗マラリア薬Antimalarials
ピリドキシンPyridoxine hydrochloride
リボフラビンRiboflavin
イソトレチノインIsotretinoin[9]
トラニラストTranilast[10]
この疾患は、肉芽腫性酒さの第一選択薬である局所療法や全身療法への反応が悪い傾向があるとされています。経口テトラサイクリン系薬剤の有効性は低く、イソトレチノインに対する反応はまちまちです。ある報告では、患者は経口プレドニゾロン(開始用量は1日10mg)または経口ダプソン;DDS(1日100mg)に優れた反応を示しました。これらの2剤の併用は、どちらかの単独療法が無効であった患者を含め、特に効果的であったとされています。同じ報告では、経口ダプソンと局所タクロリムスの併用は、7人中7人に優れた反応を示したと報告されています[1]。 他の研究でも、全身性コルチコステロイドに対する良好な反応が報告されています。
わたしなら
・MINO内服
・トラニラスト内服
・tacrolimus軟膏/Azelaic acid Cr外用
でしょうか。大体これでうまくいきます。
小児ならTC系のかわりに、エリスロマイシン/クラリスロマイシン内服でしょうか。
DDSは適応がなくときに重篤な副作用が懸念されるのであまり使いたくありません。
肉芽腫性酒さのvariantであれば自然と使う薬も限られますでしょうか。
とはいえ、診断が大切です!
場合によっては皮膚生検を行うこともあります(当クリニックでも実施します)。
本日は NIHNational Library of Medicine
Lupus Miliaris Disseminatus Faciei - StatPearls - NCBI Bookshelf
などを要約しました。
さて、言い忘れていますが
じつは今週、
私自身が、スレッドリフトを受けました!
美容の勉強に知り合いの先生のもとへ伺ったのですが、
(ボトックスとヒアルロン酸注入の勉強目的)
わたくし自身がサックリとスレッドを経験するという貴重な実体験をしました。
また復習を兼ねて報告します!
ではでは

※この文章に書かれた内容と経過は筆者の経験と知識に基づいたもので、
必ずしもすべての症例に当てはまるわけではありません。
適宜内容に関しては改定・修正をする可能性がございます。